Photo: Signing on
I don’t know why I like it, I just do
“So Emotional”, Whitney Houston
The Rando Libero Ferrario 600km, Milan – Zurich – Milan, 24th-25th June 2023 was to celebrate the centenary of Libero Ferrario becoming the first Italian cyclist to win the World Cycling Championship on the 25th August 1923 in Zurich. He was from Parabiago in Milan where the audax started and finished.
The audax wasn’t just a challenging ride, it summarised so much of my recent life and emotions.
Pride
Earlier that day those of us who’d qualified were presented with our Audax Randonneur Italia National Team jerseys for 2023 – 2026. I have been made so welcome by the Italian audax community. After every audax I have done in Italy I’ve ended up with new friends. I have learnt so much from them. In the early days from our Captain Pino Leone to more recently our four times Champion Rosanna Idini who in Sardegna showed me I was a much better climber than I thought.
Even though I am a foreigner, I wear the National jersey with great pride and hope I represent Italy well.


Surprise
As I turned the corner to the first control at Maccagno (78km) I was surprised to see so many riders. Had they gone too fast and had to rest? Was there a problem with the technology recording our progress? Was there a long queue to use the ice cream voucher we all had? No, for the first time ever on an audax I arrived too early. The control didn’t open for another fifteen minutes.
Nostalgia
No problem, it gave me plenty of time to enjoy a trip down memory lane with an ice cream flavour called “Back to the 80s”. After tasting it I realised it was Rum ‘n Raisin.

Hatred
I don’t like gravel. I hate cobbles. They give my back a real problem (see later). The big feature of this audax was the two big ascents. The first was the 11.8km (average 7.6%) HC climb to 2,116m above sea level of the San Gottardo Pass in the dark. I had no idea the last 10km were a combination of ribbed concrete and cobbles. I hated it. As I said after climbing the last 7km gravel section of the Fenestre last year “I am never doing that again”. It was too dark to take photos but these images give you an idea.



After re-fuelling and an hours sleep at the summit control (189km) it was 02:30 and time to descend. I teamed up with reigning champion Donato Agostini and Fioravante Pisaturo. At 4° ambient we wore every layer we had to counter the wind chill taking it below zero. If I hated climbing cobbles then descending them was even worse. It only lasted for about a km or so but the cobbles felt like holding on to a jack hammer whilst trying to break up concrete. For the avoidance of doubt “I am never doing that again”.
Desperation
Dawn broke. Before and after the control at Baar (281km) we were on a mission for coffee. As we were in Switzerland early on a Sunday morning we didn’t have a lot of luck. Cafes were either opening later in the day or not at all. Imagine the debate outside a petrol station whether we should try the machine coffee or press on. We were desperate. We tried the coffee. Maybe our expectations were low but it was ok.
Sorrow
I get so emotional baby, when I think of you
“So Emotional”, Whitney Houston
“Bravo randonneurs”. A couple stood at the roadside to encourage us. What I didn’t know was that it was Fioravante’s brother and his wife who lived nearby. They drove off for us to rendezvous at a cafe they knew.
I rode at the front so they couldn’t see my face. Last September I lost my younger brother to depression. Seeing two brothers greet each other hit me like a wave. When we arrived at the cafe I had to turn away from them to dry my eyes. I didn’t want to spoil their moment but I must have seemed so rude. I’m sorry. I managed to hold it together over coffee but had to release it again after we restarted.

Gratitude
“You should consider the 21st of January your new birthday”
Dr. Ivan Broger, Surgeon, Kantonsspital Graubûnden, Chur
As we approached Chur I explained I had a commitment just off the course. I would leave them and catch them up later.
After the National Meeting on Saturday we had a choice of 200km, 400km or 600km. When I saw the 600km went through Chur I had no choice but to sign up.
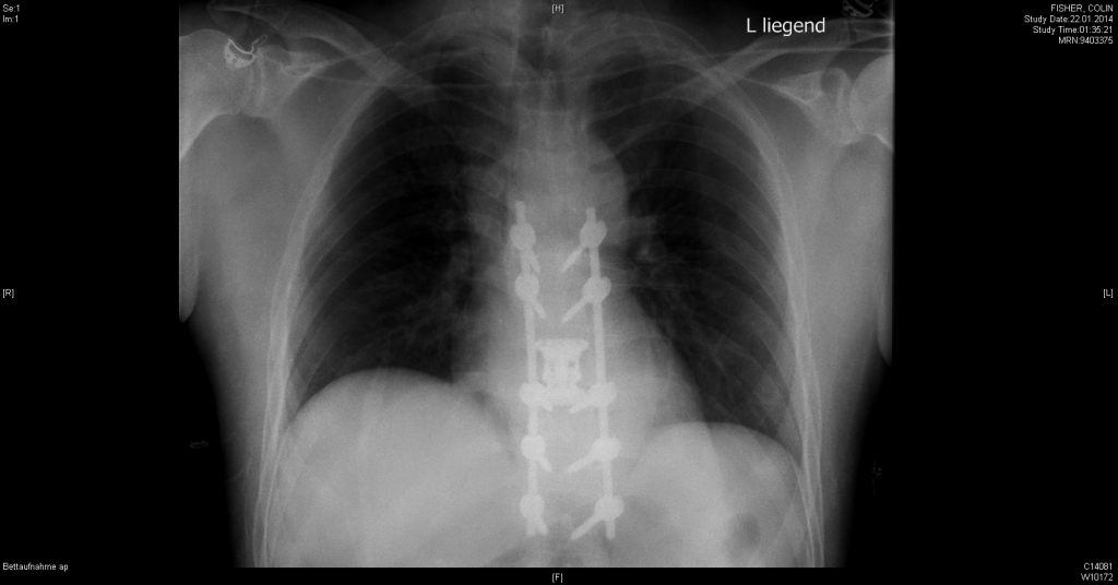
On the 21st January 2014 I had a skiing accident and broke my back. I destroyed my T9 vertebra. I was taken to the Kantonsspital in Chur for emergency surgery. Dr. Broger and his team spent 6 hours fitting a titanium cage to replace my vertebra and two poles to stabilise my spine. On the 22nd January Dr. Broger told me how incredibly lucky I was that not a single piece of my broken vertebra cut my spinal column. I was so very lucky not to need a wheelchair for the rest of my life.
This is what I looked like on the outside and the inside.


It changed my life. I decided to retire. As part of my recovery I had to find a sport. Contact sports and anything to do with running were not possible. I decided to try cycling. It all started at the Circuito Ciclistico Zengarini in Fano, Marche.

I spent the winter of 2014/15 riding the 2.4km circuit then progressed to the road and my first club La Centinarolese in the Spring, then Islington Cycling Club in the winter of 2015. Since then I’ve completed the Giro di Muscoli, six 1,000+ audaxes, been awarded the inaugural Lepertel Award from the world governing body Audax Club Parisien and many adventures across Europe.
The 2km detour took me to the hospital. It wasn’t the first time I’ve been back but this time I just spent a few minutes reflecting on and thanking the staff of this amazing place. I had a little private moment before heading back to the same roundabout where I’d left the course.




Relief
Having swapped places with Donato and Fioravente a couple of times as they and I slept at the side of the road, the last big obstacle stood between us and a downhill/flatish ride to the finish. The Spluga pass. 22km from Andeer, the 1,138m of climbing took me 2 hours and 43 minutes to complete this HC summit. Donato was waiting for me. We were back in Italy. I felt so relieved.

Satisfaction
At the Campodolcino control (475km) we re-united with Fioravente to head home along the Western bank of lake Como. Even though we had 148km and another control to go we rode at a good pace. I felt so satisfied that we’d make the finish well within the 40 hour limit.
Reflection
With 40km to go my companions pulled away from me. I couldn’t keep up the pace. I was happy to finish alone as it gave me time to reflect on the most emotional ride I’ve ever done. Ups and downs both physically and mentally.
Exhaustion
At 03:52 I returned to Parabiago. A lone cyclist in the dark. I was spent. I couldn’t even eat. I showered then lay down. I had no trouble sleeping. I needed to process all the emotions of the last 600km.
What a ride.
Thank you to all my riding companions but especially Donato and Fioravente.
Thank you to all the volunteers at ARI, G.C. Libero Ferrario Parabagio and Rugby Parabagio 1948 for such an inspiring event. Without volunteers we would not have our sport. I always try to be polite and thank the volunteers for their time. We should all do that.


Well that review was a bit different, very emotional, brought tears to my eyes, but then I have had a few glasses of vino!
LikeLiked by 1 person
Sorry to make you cry, I hope it didn’t spoil your wine.
LikeLike
Love your work mate, one day I hope us cyborgs can ride together. Your post gives me hope!
LikeLiked by 1 person
I hope so. Yours is a much longer recovery road than mine but keep going. You’ll get there. I know you will.
LikeLike
Thank you for sharing your story.
LikeLiked by 1 person
You’re welcome. I’m guessing the x ray pictures are all too familiar to you.
LikeLike
Truly an amazing story and cyclist! Hope we can meet in Rambouillet 🙂
LikeLiked by 1 person
Thank you Geoff. I’m driving to Rambouillet on the Friday so a day registering and pottering about on Saturday. See you then.
LikeLike
Hi Geoff, in response to your question re lights set up: I use a SON dynamo for front and rear lights. I also put a spare battery rear light just in case the dynamo packs up. I have a power bank/front light combo which I use for descending, pointing the light at a different angle than the dynamo light to look further ahead. I also have an LED strip light on my helmet for 1. Looking around the corner during hairpin descents 2. If I need to look at the bike/repair a puncture/read something/walk into the bushes for a comfort break. It has a movement sensor to turn it on and off which is great when wearing winter gloves but occasionally an insect will fly past and turn it on/off. I hope this helps. Colin.
LikeLike
An emotional reading. Thanks.
The spirit of our sport is perfectly described trough your words.
LikeLiked by 1 person
Thank you Roberto, that’s very kind. We’re lucky to have this sport in our lives.
LikeLike